Cas cliniques
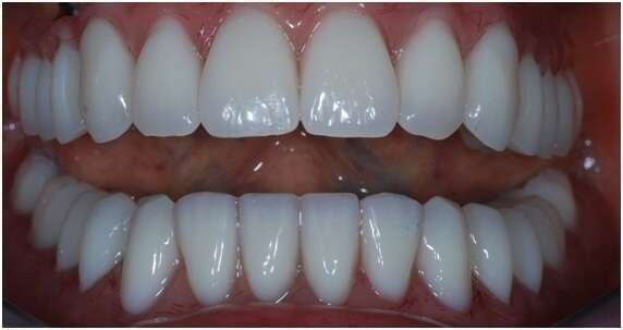
Cas 1 REALISATION DE COURONNES ET FACETTES CERAMIQUES SUR 6 DENTS ANTERIEURES
SOUHAITS DE LA PATIENTE
- Changer ses deux couronnes
- Blanchir ses dents
- Diminuer les espaces entre ses dents
Réalisation de
- Deux couronnes pour remplacer les anciennes
- De six facettes en céramique pour éclaircir les dents et changer leur forme
Cas 2 MISE EN CHARGE IMMEDIATE DE 6 IMPLANTS AU MAXILLAIRE SUPERIEUR
Patiente de 65 ans, présentant un appareil complet du haut, recouvrant des racines résiduelles.
La patiente ne supporte plus son appareil amovible et souhaite une solution fixe.
Après réalisation de modèles d’étude, de maquettes pour préfigurer le résultat final, une étude informatique st réalisée grâce à la 3D.
La chirurgie est planifiée.
Il est prévu :
- La pose de 6 implants dont deux angulés en avant des sinus
- La pose (24h après) d’un bridge provisoire transvissé qui sera conservé six mois.
- La réalisation, six mois plus tard, d’un bridge définitif transvissé.
Implants posés et bridge provisoire en place.
Le bridge transvissé provisoire
SIX MOIS APRES POSE DU BRIDGE TRANSVISSE DEFINITIF
AVANTAGES DE CETTE SOLUTION
- Une prothèse fixe est posée 24 heures après l’intervention
- Une seule intervention, sans greffe
- Esthétique
- Très confortable
- Bridge démontable si l’on veut, un jour, changer les dents.
Cas 3 POSE DE FACETTES ET COURONNE SUR IMPLANT APRES ETUDE SUR WAX UP
SITUATION DE DÉPART
RELISATION DU WAX UP (projet envisagé en cire)
AVANT-APRES
Cas 4 COURONNES "TOUT-CERAMIQUE", SUR DEUX INCISIVES CENTRALES
