Les facettes sont des revêtements très fins en céramique qui sont collés sur la face externe des dents.
Bienvenue
Le cabinet dentaire des Docteurs Javelon, Cochard et Hubert, chirurgiens-dentistes à Lagord près de La Rochelle, vous souhaite la bienvenue sur son site Internet. Vous y trouverez les meilleures informations de prévention et de santé bucco-dentaire.
Tout savoir sur le déchaussement des dents et la pose d'implants
Docteur Fabien JAVELON
Docteur en chirurgie dentaire
Inscription à l'ordre n° R017-062
Diplômé de la Faculté de Bordeaux
- Certificat d'Etudes et de Recherches Approfondies en Implantologie Orale (C.E.R.A.I.O, Paris)
- D.U. Européen d'Implantologie Orale (Université de Corse Pasquale Paoli)
- Diplômé de la formation aux Techniques de Régénération Osseuse Avancée (Pr I. Urban, Budapest)
- Diplômé de la formation au PRF et aux prélèvements sanguins (SYFAC, Paris)
- Diplôme d’Anatomie Clinique Oro-faciale (SAPO, Paris)
Docteur Cécile COCHARD
Docteur en chirurgie dentaire
Inscription à l'ordre n° 17-1298
Diplômée de la Faculté de Bordeaux
- Certificat d'Etude et de Recherche Approfondies en Implantologie Orale (C.E.R.A.I.O.)
- C.E.S de Prothèse Fixée
- C.E.S de Parodontologie
-Diplômée de la formation au PRF et aux prélèvements sanguins (SYFAC, Paris)
MERCI DE NOTER QUE NOUS NE POUVONS PAS DONNER DE RENDEZ-VOUS PAR MAIL.
Pour toute demande de rendez-vous, veuillez appeler le cabinet.
MERCI
Docteur Julie HUBERT
Docteur en chirurgie dentaire
Inscription à l'ordre n° 17 4204008
Diplômée de la faculté de Nantes.
- Diplômée de la formation au PRF et aux prélèvements sanguins (SYFAC, Paris)
- Diplômée de la formation d'Anatomie Clinique oro-faciale (SAPO, Paris)
MERCI DE NOTER QUE NOUS NE POUVONS PAS DONNER DE RENDEZ-VOUS PAR MAIL.
Pour toute demande de rendez-vous, veuillez appeler le cabinet.
MERCI
Les fiches conseils
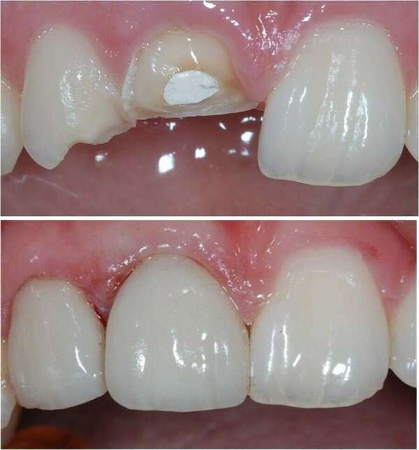
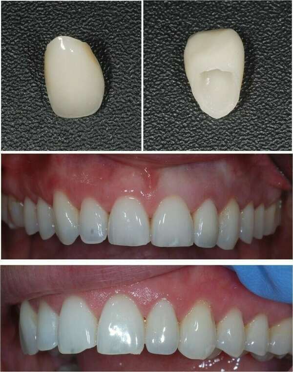
La couronne tout céramique comporte un noyau à base d’alumine ou de zircone* recouvert d’une céramique esthétique.
Un implant dentaire est assimilable à une racine artificielle. Il se présente sous la forme d’une vis en titane placée dans l’os de la mâchoire.



